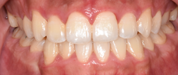
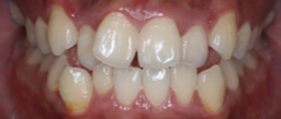
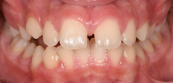
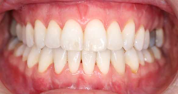
Before & Afters
Let the results speak for themselves and see what's possible at The Smile Studio with our gallery of smile transformations.

Real Patient Transformations
Confidence Starts With A Smile
Every smile tells a story. At The Smile Studio, we believe orthodontics is more than just straightening teeth—it’s about helping patients feel confident, comfortable, and proud of their smiles. Whether you’re looking for a subtle enhancement or a dramatic transformation, our before-and-after gallery showcases the real results we’ve achieved for our patients.
Your journey to a healthier, more radiant smile starts here. Take a look at the incredible transformations we’ve helped create, and imagine what’s possible for you!









.jpg)